このページでは、2010年8月24日に父が急性心筋梗塞を発症し、茨城県取手市の取手協同病院(現JAとりで総合医療センター)に搬送されてから、 カテーテル治療(PCI:経皮的冠動脈形成術:術者:岩井利之医師)、PCIにおける重大な血管損傷・解離・穿孔・閉塞、ショック・心タンポナーデ・血胸・急性硬膜下血腫を経て、2010年9月12日に死亡に至るまでの 病院内の臨床経過と、証拠保全で入手したカルテ・医療記録の分析結果をまとめています。
病院内の経過と医療記録の分析(概要)
ここでは、2010年8月24日に父が心筋梗塞を発症して病院に搬送されて、
カテーテル治療(PCI:経皮的冠動脈形成術:術者:岩井利之医師)を受けてから9月12日に死亡するまでの病院内の経過と、証拠保全で入手したカルテ・医療記録の分析結果をまとめます。
この病院は茨城県取手市にある「取手協同病院」で、父の死から半年後、年度切り替えの2011年4月1日付で「JAとりで
総合医療センター」に病院名が改名されています。
臨床経過と医師説明
- 2010年
- 8月24日;心筋梗塞発症・カテーテル治療
父が心筋梗塞を発症し、茨城県取手市にある「取手協同病院」(現JAとりで総合医療センター)に救急搬送。カテーテル治療(PCI:経皮的冠動脈形成術:術者:岩井利之医師)施行。終了までに3時間を要した。「治療は成功したが、元々の心筋梗塞が重症のため、この後は経過は厳しいかもしれない」と岩井医師説明。 父の意識は清明で、「ここに連れてきてくれてよかった。先生も時間をかけて丁寧にやってくれた」と喜んでいた。 術後、岩井医師は他の医師と談笑していたのを見届けて安心して帰宅。 - 8月25日:血圧低値・頻脈、意識あり
昇圧剤が複数投与されていたが、血圧低値、頻脈。父の意識はあった。「かなり厳しい状態」と岩井医師説明。「発症からPCIでの再灌流までの時間が3時間程度と短かったため、この後、よくなるだろう」と私は考えていた。 - 8月26日:状態悪化・輸血・人工呼吸器使用開始
病院から緊急呼び出し。「いよいよ厳しくなってきました。積極的な治療を希望しますか?」と岩井医師から打診あり。「もちろん希望します」と返答。貧血になっているとのことで輸血開始(貧血の原因について説明なし)。気管挿管、人工呼吸器装着。発症からPCI開始までの時間は短かったため、「この後、必ずよくなる」と私は信じていた。 - 8月27日:重度のショック・危篤状態
病院から緊急呼び出し。午後3時頃、血圧60/40 mmHg, 心拍数150~160/min。岩井医師の上司の梅本朋幸医師より「非常に危険な状態。心筋梗塞が重症のため心臓のポンプ機能が低下し、血圧が維持できない状態。昇圧剤を限度いっぱいまで使用しているが、これで血圧が維持できなければ残された手段がない。今日か明日、お亡くなりになる可能性が高い」という説明。 午後7時頃に再度、見舞いに。父は同様の状態。岩井利之医師からの説明も同様の内容だった。 「おそらく今晩でしょうから、付き添ってあげて下さい」という医師の勧めに、 「そんなはずはないです。必ず良くなると私は信じています。先生たちも最善の治療をお願いします」と私は言い残し、家族3人で病院を後にした。 - 8月28日:心タンポナーデに対する心嚢穿刺術施行の事後報告
朝、病院に見舞いに行くと血圧110/60 mmHg, 心拍数100/minとショック状態から回復していた。岩井医師は「夜半頃、心タンポナーデとなっていたため、「心嚢穿刺術」を行った」と事後報告。「その原因はoozing型心破裂で、回復が難しい絶望的状況」との説明を受ける。「何故、そんな重要な手技を行うのに電話での連絡はなかったのですか?」と聞いたが、岩井医師は「連絡している時間的余裕がなかったから」という辻褄の合わない返答だった。(この時、突如として「心タンポナーデ」という言葉が出現。それまで医師から「心タンポナーデ」という言葉が出なかったことから、「心タンポナーデ」の見落としを疑った。しかしこの時点での追及は控えた(父が少しでも大事に扱ってもらえるようにという配慮から)。 - 9月5日:鎮静薬OFF
- 9月9日:人工呼吸器から離脱したが意識は回復せず
抜管し人工呼吸器から離脱した。意識が回復しない原因について岩井医師は「肝機能が悪いため鎮静薬がなかなか 抜けないのかもしれない」、「脳梗塞になっているかもしれない」と説明し、主要因である低酸素脳症(ショックに伴う)の説明は避けた。 - 9月11日:状態悪化、岩井医師への質問「心タンポナーデ見落としでは?」
いつも通り夜に父を見舞う。父の意識は回復していなかった。顔を震わせて苦しそうにしていた。主治医の岩井医師はこの状態を知りながら帰宅したとのことで電話をかけてもらい再度、病院に来て対応していただくこととなった。「8月27日に重篤なショック状態に陥っていたとき、心タンポナーデの言葉が出なかったのは、心タンポナーデを見落としたからとしか考えられませんが、見落としですか?」とかねてからの疑問を投げかけたが、岩井医師は「見落としではない」と返答した。「見落としではないのなら、何故、そんな大事なことを説明してくれなかったのですか?」と質問すると、「説明する時間的余裕がなかった」、「心嚢穿刺をするには心嚢液の量が少なくリスクが高かったから」、「説明不足」などという辻褄の合わない返答に終始した。 - 9月12日:父死亡、警察官の不審言動、「司法解剖」へ
全身CT(頭部・胸腹部)撮影中、頭部CT撮影後に心肺停止。しかしその後、蘇生を開始せずに胸腹部CT撮影を優先。蘇生までに9分間の空白。死亡(急性硬膜下血腫、変死体)。
岩井利之医師の説明の後、安全管理部門の担当者・佐藤長典氏が現れ、家族から状況を説明した。その後、循環器内科長・徳永毅医師より説明。徳永医師は当初、病理解剖を申し出てきたが、私たち遺族は司法解剖を希望。佐藤長典リスクマネージャーより副院長に確認(とのこと)、「司法解剖になるかどうかは警察に検死を依頼して、その結果、事件性の疑いがあるかどうかで判断される」とのことで「こちらで警察を呼びましょうか?」という病院側(佐藤氏)の申し出があり、私たち遺族は警察への連絡を病院側に一任(病院側が警察に連絡したことを私たち遺族は確認していない)。
「茨城県取手警察署・沢村紀行刑事第一課長」と名乗る男性(以下「沢村刑事」)が病院面談室に入室。沢村刑事は「私は中立な第三者ですから、遺族の話ばかり聞くわけにはいかない」と私たち遺族を突き放し「そういうことを素人の私に言われても困ります」と聞く耳を持たず。「あなたは医学生で医学の知識があるならば自分で解剖することもできるでしょう」と発言し「いや私はまだ学生ですしそのような権限もありません」と私が答えると、「だから知識があったとしても資格がないわけだ。だから資格を有する医者にお願いするしかないですよね。分かりますか?」と一方的に発言。
その後、沢村刑事は「検死を行います」とのことで一旦、相談室から出て行き、しばらくして相談室に戻ると、「検死の結果、司法解剖になります」と報告。
「おかしなことを伺うようですが、亡くなられたお父様の生命保険の額はどのくらいでしょうか?だいたいで構いませんので、教えていただけますか?」と沢村刑事は聞いてきた。「100万円くらいだったと思います」とこちら側は事実を答えた(質問の意図は不明)。
午後10時30分頃、病院裏口で父の遺体を見送り。父の遺体は医師達と沢村刑事に取り囲まれていた。 循環器内科長・徳永毅医師と沢村紀行刑事は何やら小声で密談しているようだった。 私たち遺族がそこに加わろうとすると、沢村刑事が両腕を横に広げて私たち遺族の前に「とうせんぼう」をするように立ちはだって、「ここはご家族はご勘弁下さい」と私たちの遺族を排除した。私たちは父を見送ることさえ許されず、仕方なくその場を後にした。その後の父の遺体の行方については私たち遺族では全く確認していないため、その場、及びその後、父の遺体に対して何が行われたかは不明。
カルテ・医療記録から抽出された問題点とその証拠資料
- 8月24日:右橈骨動脈からアプローチするも失敗。右大腿動脈からアプローチやり直し
カテーテル治療は22時35分に開始され、右橈骨動脈を穿刺し開始されたが冠動脈へのアプローチに失敗し、右大腿動脈からやり直しとなっている。
証拠: 下記レポートに「右raアプローチできず変更」の記載あり。「ra」とはradial(橈骨動脈)のこと。
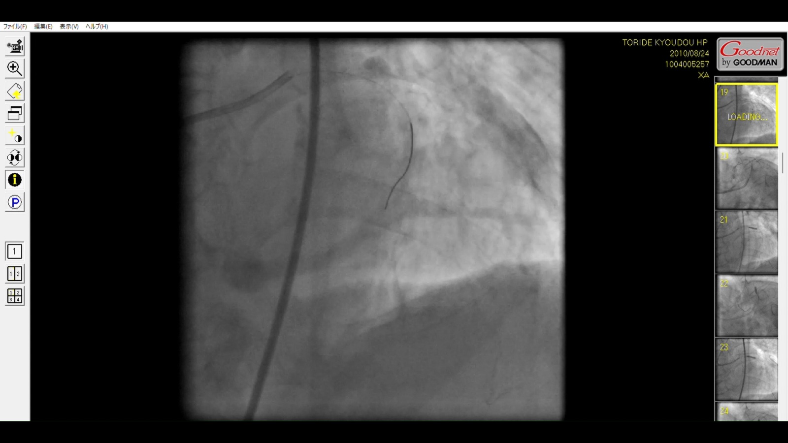
- 8月24日:大事故の画像が抜き取られた疑い
動画の記録は23時02分より開始(カテーテル手技開始(22時35分)から27分間のブランクあり)。カテーテル手技開始後、右橈骨動脈から冠動脈へのアプローチ失敗の動画が存在しない。大事故のため、抜き取られた可能性がある。
証拠:PCI動画の更新時間:最初の動画が23:02となっており、それ以前の27分間の動画が存在しない。
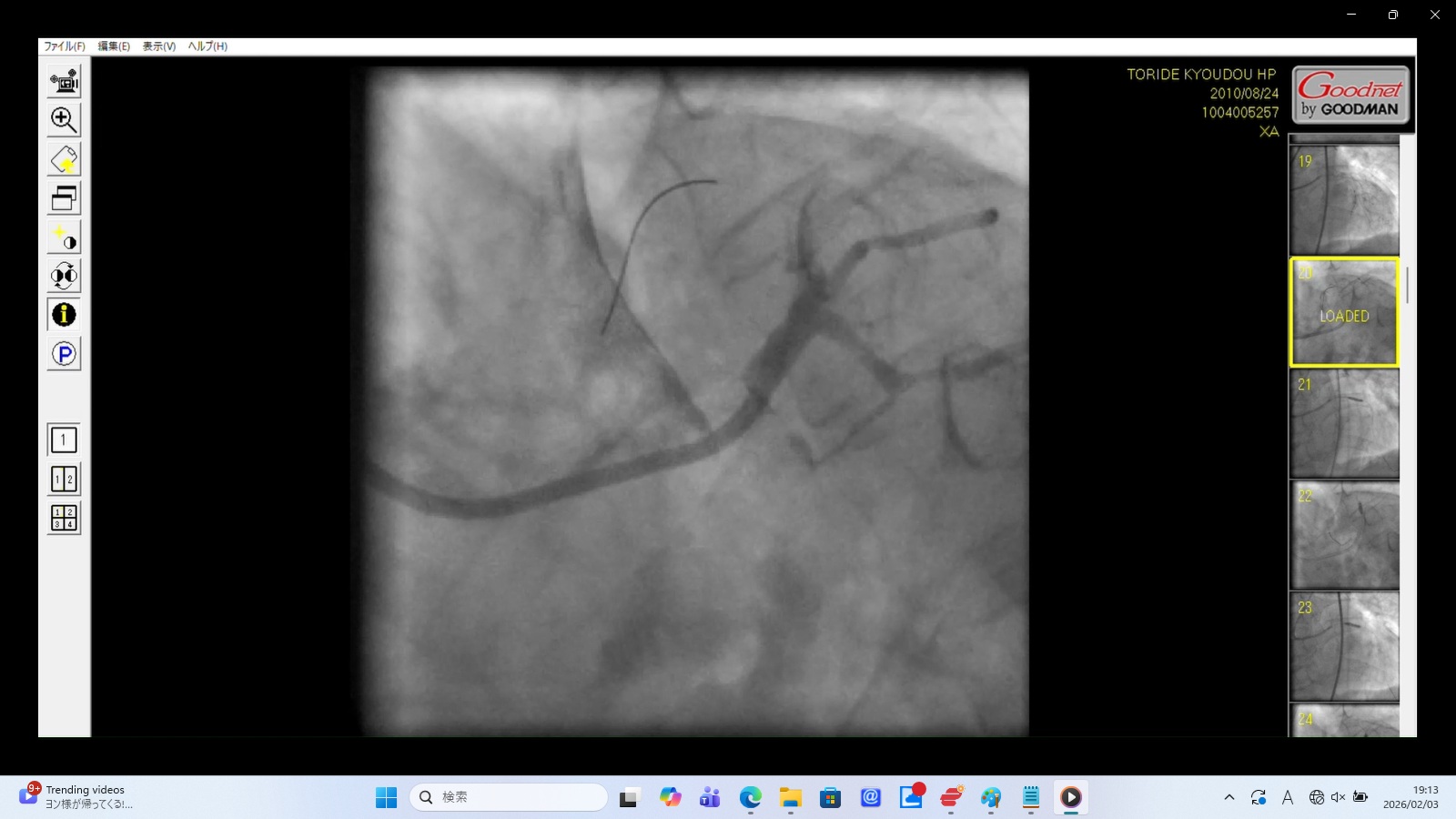
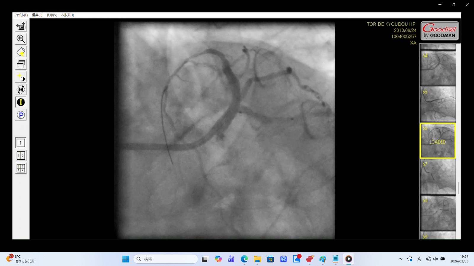
また23:15~23:25頃、「血栓吸引」との記載があるが、その時間帯を含む23:08~23:26の18分間の動画が存在しない。 その後の動画では左冠動脈主幹部が解離・損傷。そのリアルタイムの証拠が抜き取られた可能性がある。 - 8月24日~25日:カテーテル手技の大事故(冠動脈損傷・閉塞・穿孔)
左前下行枝解離・穿孔、左冠動脈主幹部解離・損傷・完全閉塞、ステント様人工物の血管外脱落などの所見あり。 術者の岩井利之医師は「治療は成功した」と偽り、これらの大事故・大損傷を隠蔽した。救命のためには心臓血管外科での緊急手術が必要な状態であったはずだが、医師らはその手配をせず放置した。
血管外への広範な血液漏出と拡散

左冠動脈前下行枝(LAD)のリアルタイム解離

左冠動脈主幹部解離(真腔と偽腔の併存)と血管外漏出

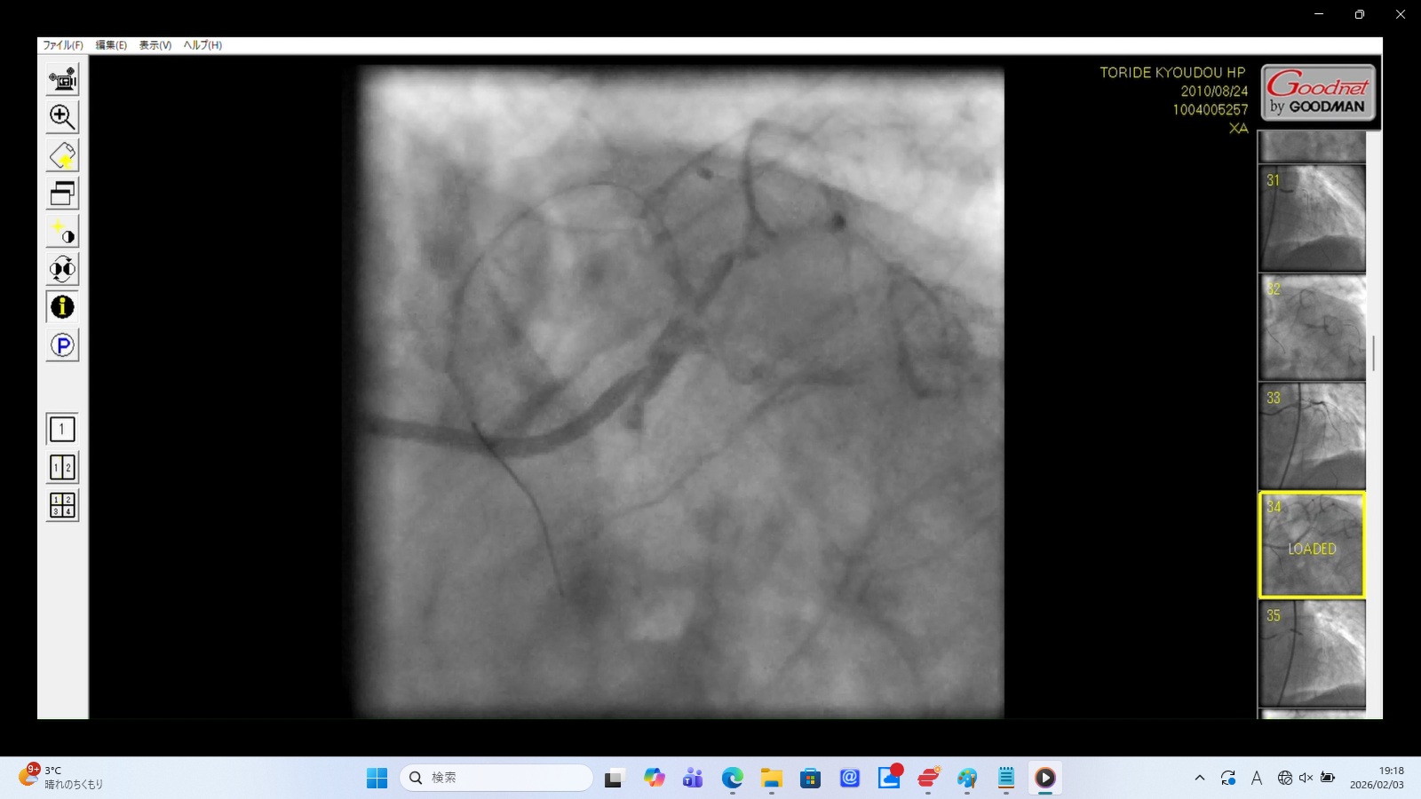
血管外に脱落した浮遊する人工物

左冠動脈前下行枝(LAD)の穿孔

左冠動脈前下行枝(LAD)の穿孔

左冠動脈主幹部(LMT)の完全閉塞

- 8月24日~25日:過剰放射線量
心カテ検査記録によると、PCIでの放射線被曝量は10350mGyに達し、許容量を大幅に超過。
証拠:PCIレポート
- 8月26日:Hb 11.1 g/dlで輸血開始
貧血にて輸血開始(カルテ・看護記録に記載あり)。しかし当日の血液検査ではHb 11.1 g/dlと貧血は軽度。 Hb 11.1 g/dlが本当であれば輸血の必要はなく不適切診療。輸血が必要な状態であれば、Hb 11.1 g/dlは虚偽。 いずれにしても重大な証拠。
証拠:カルテ・看護記録・血液検査の抜粋
- 8月27日:APTT 92秒でヘパリン増量(死期を故意に早めようとした疑い)
胸腔、心嚢内への出血によるショックの進行中、8月27日の血液検査でAPTT 92秒とパニック値にもかかわらず、抗凝固薬ヘパリンが15000単位から20000単位に増量されている。出血性ショック、心外拘束閉塞性ショックを悪化させ、故意に死期を早めようとした疑い。
証拠:血液検査・注射処方箋の抜粋(赤枠部分)
- 8月27日:医師・看護師、心嚢水増量、危険な状態を認識
当日のカルテには「心嚢水増量」、「危険な状態」との記載あり。この日、岩井医師の上司の梅本朋幸医師は「元々の心筋梗塞が重症のため、心臓のポンプ機能が著しく低下している。昇圧剤を限度いっぱいまで使用しているが、血圧が維持できなくなりつつあり、残された救命手段はない。 間もなくお亡くなりになる。いつ心肺停止してもおかしくない状態」と説明した。カルテ記載にある「心嚢水増量」、「心嚢水」、「心タンポナーデ」、「心嚢穿刺」というキーワードは梅本医師の説明の中に全く出てこなかった。これは父が死亡した9月12日の質疑応答の際、「言ってないです。それは覚えております」と梅本医師も認めており、録音記録もある。
証拠:カルテ記載
- 8月27日:改ざんを前提とした偽名患者の記録
人工呼吸器設定記録に「石川環」という偽名を用いて記載。改ざん記録の破棄を前提とした記録。善意に基づいた医療が行われていなかったことを裏付ける決定的証拠。
証拠:偽名が記載された人工呼吸器設定記録
- 8月28日0時過ぎ:「心タンポナーデ」、「心嚢穿刺」の記載
心エコーにて心嚢水増量を認め、血圧50mmHgまで低下したため心嚢穿刺施行、との岩井医師による記載あり。
過剰なヘパリン(抗凝固薬)に対してプロタミンで中和し、心嚢穿刺術を行ったのは、科内の他の医師(大坂友美子医師)だった。 さらにこの医師は敗血症性ショックを疑い、それまで漫然と投与されていた抗菌薬(セフトリアキソン)をチエナム(カルバペネム系)に エスカレーションした。その後、父の血圧は回復し危篤状態から一旦回復した。
このことは「残された救命手段はない」という梅本朋幸医師と岩井利之医師の説明が虚偽であったという事実を明らかにしている。 また「放置して看取らせる」という梅本医師と岩井医師の方針に対して、大坂医師が真っ向から異を唱えたという、内部対立・分裂の証拠ともなっている。
証拠:カルテ記載・病状説明用紙
- 8月25~28日:ショックに伴う乏尿・無尿・危篤状態
8月25日:尿量779ml/日、8月26日21:30~8月27日5:30:尿量28 ml, 8月27日5:30~13:30:尿量15 ml, 13:30~21:30:尿量4 ml, 21:30~8月28日5:30:尿量144 ml(ショックに伴い無尿、ショック解除に伴い尿量増加。)
証拠:CCU看護記録(尿量)
- 2010年8月分レセプト記載に「心嚢水」なし、「心嚢穿刺術」なし
2010年8月分レセプトの検査に「心嚢水」の項目はなく「胸水」のみ。「心嚢穿刺術」の記載なし→「心嚢穿刺」という医師説明は虚偽の可能性。
- 生命保険診断書:心嚢穿刺の記載なし
処置の記載欄に、心嚢穿刺術の記載なし
- 8月24日~8月31日:重度のショック肝・ショック腎
ショック肝(重症肝不全:ピーク値:AST 4018 U/l, ALT 3177 U/l)、ショック腎(重症腎不全:Cre 5.15 mg/dl)の進行。ショック解除後、悪化なし。
証拠:血液検査データ
- 9月4日:「放置する」という梅本医師・岩井医師の方針に異を唱えた大阪医師の内部告発のカルテ記載
「先週金曜日(8月27日)に主治医より大坂の意見は不要と断言されたためカルテ内申し送りとさせていただいた」の記載あり。 8月27日は血圧60/40 mmHg, 心拍数150/minと重度のショック、危篤状態に陥り、「残された救命手段がない」と梅本医師が説明した日だった。 一方、ここでカルテを記載した大坂医師は過剰のヘパリン(抗凝固薬)をプロタミンで中和し、「心嚢穿刺」、「抗菌薬のエスカレーション」という救命処置を行った。 このカルテ記載は「残された救命手段がない」という梅本医師と岩井医師の説明が虚偽であったという事実を示すとともに、「放置して看取らせる」という彼らの方針に異を唱えた善良な大坂医師の「内部告発」のメッセージとして貴重な記録である。
証拠:医師カルテ
- 9月7日以降、死亡するまで医師カルテ記載なし:放置の証拠
9月7日から、父が死亡した9月12日までの5日間、医師によるカルテ記載が全くない。 これは回復する見込みがなく、患者の死を待つのみであったこと、及び医師が最善の患者管理を放棄して放置した傍証でもある。
証拠:カルテ
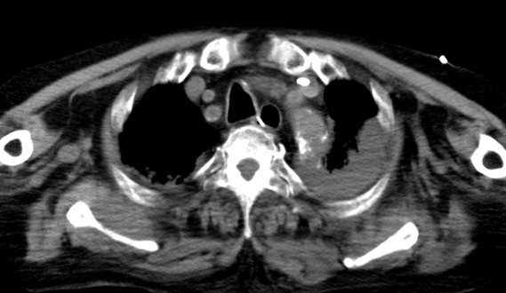
- 9月12日:血胸(緊張性血胸)の痕跡
胸部CTでフィブリン化、血餅化した胸水の遺残や大動脈周囲の血種の所見が認められる。 心嚢水貯留のみでは輸血が必要になるほどの貧血は起こり得ず、より広いスペースへの出血が起こっていたと考えられる。 そのスペースは胸腔や縦郭と考えられ、その原因は当初行われたPCI(経皮的冠動脈形成術)での血管損傷であったと考えられる。
証拠:胸腹部CT・血胸・大動脈周囲の血種像
- 9月12日:急性硬膜下血腫
死亡した日の頭部CTで重度の急性硬膜下血腫が認められる。「その原因はDICによる出血傾向」と岩井医師は説明したが、 下記に示すように、この日の血液検査では出血傾向は軽度であり、頭蓋内への自然出血は否定される。
証拠:頭部CT・急性硬膜下血腫
- 9月12日:出血傾向はごく軽度
PT-INR 1.3, APTT 35 sec, 血小板3.6万/μl, Hb 8.2 g/dl:出血傾向はごく軽度で硬膜下血腫の自然発生は否定的。この時、父は意識がなく自ら動くことはできない状態であったため、残る可能性は頭部外傷のみ。
証拠:血液検査データ(9月12日)
病院内経過と医療記録の分析・検証結果・総括
-
2010年8月24日、父は心筋梗塞を発症し、茨城県取手市にある取手協同病院に搬送された。
急性心筋梗塞の診断で、循環器内科にて緊急カテーテル治療(PCI:経皮的冠動脈形成術:術者:岩井利之医師)が行われた。
22時35分に開始され、右橈骨動脈にガイドワイヤーを挿入して手技が開始されたが、 冠動脈にアプローチできず、右大腿動脈から挿入された。その間、アプローチが失敗した時間帯のPCI画像が 存在せず、ここで大事故を起こした証拠であるこの間の画像が抜き取られた可能性が疑われる。 PCIは3時間と長時間を要し、その間の放射線被曝量も人体に深刻な影響を与えるほど大量であった。 PCIの動画を確認すると左冠動脈主幹部解離・損傷・閉塞、左冠動脈前下行枝解離・穿孔、 左回旋枝への血栓閉塞、ステント様人工物の血管外落下など多数の致命的な大事故が認められた。 救命のためには心臓血管外科での開胸手術が必要のはずであったが、PCI終了後、医師は遺族に対して「治療は無事成功した」としてこの大事故を隠蔽し、心臓血管外科への手配をせずに放置し談笑していた。
その必然的結果として、胸腔や心嚢に出血し、緊張性血胸・心タンポナーデ、出血性ショックが進行し、危篤状態に陥った。
8月27日の午後3時の時点で、血圧60/40 mmHg, 心拍数150~160/min、8時間尿量4mlと、いつ心肺停止してもおかしくない状態であった。 しかし梅本朋幸医師と岩井利之医師は父がショックに陥った原因を「元々の心筋梗塞が重症のため」と偽り、 医療事故とそれに起因する緊張性血胸・心タンポナーデ、出血性ショックを隠蔽した。 また抗凝固薬ヘパリン15000単位/日が投与されていたが、この日の血液検査でAPTT 92秒とヘパリン投与量が過剰であったにもかかわらず、ヘパリンが20000単位/日に増量されており、故意に死期を早めようとした疑いがある。
8月28日夜半過ぎにショック解除(ヘパリンをプロタミンで中和、心嚢穿刺術及び抗菌薬のエスカレーション)が行われたが、心嚢穿刺術に際し、私たち家族への連絡もなく同意も取得していなかった。 私たち家族への着信記録もなかった。 私が心配になり病院に行くと、8月28日午前9時30分の時点で血圧110/60 mmHg, 心拍数100/minとショックから離脱していた。 岩井医師は「夜間、さらに血圧が50台に下がったため、エコーを当ててみると、心嚢水が貯留して心タンポナーデになっていたため、心嚢穿刺を行った」と私に事後報告した。「その原因はoozing型心破裂と言って、心筋梗塞で壊死して脆くなった心筋の隙間から心嚢内に血液が少しずつ漏れ出している状態であり、いずれにしても危険な状態」とのことであった。
このショック解除について、大坂医師と岩井医師は「心嚢穿刺」と説明しカルテにも「心嚢穿刺術」と記載されているが、生命保険診断書には「心嚢穿刺術」の記載がなく、レセプトにも「心嚢穿刺術」の保険請求項目がないことからは、「心嚢穿刺術」施行というカルテ記載と医師説明が虚偽の可能性もあると考えられる。またレセプトには「心嚢水」ではなく「胸水」と記載されている。心嚢への出血のみで輸血が必要になるほどの貧血になることは考えられず、それよりも大きなスペース(胸腔)への出血が必ず起こっていたと考えられる。実際、「胸水穿刺」と考えると、輸血が必要だったこと、出血性ショックも起こっていた可能性が高いことなどを含め、前後の経過が矛盾なく説明できることから、実際に起こっていた病態は胸腔内への出血に伴う緊張性血胸、出血性ショックで、ショック解除のために行われた手技は胸水穿刺だった可能性もあると考えられる。
入院した8月25日から8月28日にかけて血液検査で肝機能の値(AST, ALT)、腎機能の値(Cre)が急激に上昇し、肝機能の値のピーク値は8月28日のAST 4018 U/l, ALT 3177 U/lと重度の肝不全であり、経過からはショック肝と考えられる。 また腎機能を示すCreは、8月26日にCre 0.82 mg/dl, 8月27日にCre 2.66 mg/dl, 8月28日にCre 5.15 mg/dlと腎不全が日単位で急激に進行している。ショック解除前の8時間の尿量はわずか4mlという記録がある。これは血圧低下の経過と一致しており、ショック腎と考えられる。
ショックの時間が長期化していたことから、ショック肝、ショック腎を初めとして、 全身臓器が傷害されて多臓器不全となり、回復不能の状態に陥った。
9月5日に鎮静剤が終了となったが、父の意識は回復しなかった。 岩井利之医師は「肝機能が悪いので鎮静薬がなかなか抜けないのかもしれない」、「脳梗塞になっているかもしれない」 と全て「かもしれない」という可能性の説明のみであったが、 一元的に考えれば、重度のショックの解除が遅れたことに伴う脳血流低下に起因する低酸素脳症と考えるのが医学的に正しい解釈である。
状態が悪化した9月12日に頭部・胸腹部CTが撮影された。岩井医師説明およびカルテ記載には、そのCTの目的として 「貧血が進行したため出血源精査目的」とあるが、頭部への出血で貧血が進行することは通常考えられず、 出血源精査目的であれば、胸腹部CTで十分のはずである。 このCTの目的は、医学的には死後AI(Autopsy Imaging)に他ならない。 つまり、死因の特定である。
この時、撮影された頭部CTで急性硬膜下血腫が認められた。これが父の直接の死因となった。 岩井医師からもその説明があったが、 直接の原因と推定される「頭部打撲」には一切言及がなく(録音記録あり)、 DIC(播種性血管内凝固)に伴う出血傾向による自然出血とのことだった。 しかしこの日、数時間以内に行われた血液検査では、「PT-INR 1.3, APTT 35 sec, 血小板3.6万/μl」と 出血傾向はごく軽度であり、自然発生的に頭蓋内に出血を起こす可能性は皆無と言ってよい。
このことから、直接の死因である急性硬膜下血腫の原因は頭部打撲と確定できる。 この時点で父の意識はなく、自ら動くことは全くできない状態であることから、 頭部打撲は外力によって起こったという結論に達する。つまり変死である。
硬膜下血腫がなかったとしても父は回復不能であり、早晩、死に至る病状ではあった。父の死亡までの5日間、医師のカルテ記載が1文字も存在しないことも、そのことを強力に裏付けている。 重大で致死的な医療事故を闇に葬ることを目的とした故意の放置、そして死期を早めるための頭部外傷、 というのが、医療記録と経過から必然的に導き出された結論である。
この時、同時に撮影された胸腹部CTでは、大動脈周囲に三日月状の血種様の病変が認められ、両胸腔にはフィブリン化したと思われる血餅の残存病変が多数認められた。血管損傷に伴い胸腔に出血していた証拠であり、当初のPCI(カテーテル治療)での大事故の痕跡がこのCT画像に残っている。
病院名改名(取手協同病院→JAとりで総合医療センター)
※この病院(取手協同病院)は、この大事件が起こった翌年の年度切り替え時、2011年4月1日に「JAとりで総合医療センター」と改名されています。一次資料リンク
※ 各リンクは公開用に黒塗り処理済版を配置予定。原本のSHA-256ハッシュと照合可能。